• Professional healthcare
  • Products & Services
  • Inspiration
  • Support & Contact
  • Shop
‌
‌
‌
‌
‌
‌
‌
‌
‌
‌
‌
‌
‌
‌
‌
‌
‌
‌
‌
‌
  • Consumer productsConsumer products
    • Home
    • Support
    • Product registration
    • My Philips
  • Healthcare professionalsHealthcare professionals
    • Home
    • Products
    • Services
    • Specialties
    • Solutions
  • Other business solutionsOther business solutions
    • Lighting
    • Automotive
    • Dictation Solutions
    • More
    • Hearing solutions
    • Display solutions
  • About usAbout us
    • Home
    • News
    • Investor Relations
    • Careers
    • More
    • Innovation
    • Environmental, Social and Governance
  • Contact and supportContact and support
    • Customer support
    • Professional healthcare support
    • Company contacts
  • Stay up-to-dateStay up-to-date
  • Select your country / languageGlobal / English
  • Privacy Notice
  • Terms of use
  • Cookie notice
© Koninklijke Philips N.V., 2004 - 2026. All rights reserved.
‌
‌
‌
‌
‌
‌
‌
‌
‌
‌
‌
‌
‌
‌
‌
‌
‌
‌
‌
‌
  1. Diagnostic imaging
  2. Magnetic resonance imaging
  3. MRI software
  4. 3D PelvisVIEW
3D PelvisVIEW
MR clinical application
MRI software
‌
‌
‌
‌
‌
‌
‌
‌
‌

3D PelvisVIEW

MR clinical application
MRI software
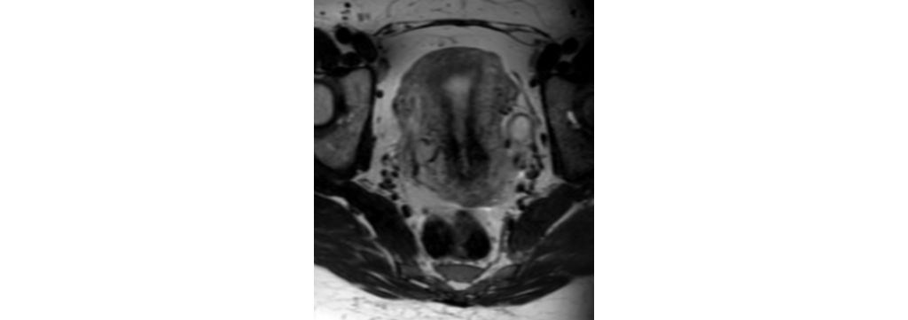
3D VIEW is an advanced 3D TSE technique that lets you acquire high resolution data in multiple directions, including oblique, in one scan helping you enhance your confidence when diagnosing lesions.

All Philips professional healthcare customers can open, track and manage equipment service tickets in our Customer Services Portal at no cost. Register for an account here.
For all support resources and contact information, visit our Support hub.

Brochure
Clinical applications brochure(10.98 MB)
3D BrainVIEW(240.74 KB)
See all

Clinical image gallery

  • 3D PelvisVIEW - T2w TSE (oblique reformat)
    3D PelvisVIEW - T2w TSE (oblique reformat)

Documentation

Clinical applications brochure
PDF|10.98 MB
3D BrainVIEW
PDF|240.74 KB

Recommended products

  • SmartPath MR system upgrade
    SmartPath to dStream
    The smart approach to digital broadband MR- Ingenia owners enjoy enhanced image quality, advanced clinical capabilities, and efficient workflow from dStream broadband digital architecture. A SmartPath to dStream upgrade offers full dStream, without installing a completely new system.