• Professional healthcare
  • Products & Services
  • Inspiration
  • Support & Contact
  • Shop
‌
‌
‌
‌
‌
‌
‌
‌
‌
‌
‌
‌
‌
‌
‌
‌
‌
‌
‌
‌
  • Consumer productsConsumer products
    • Home
    • Support
    • Product registration
    • My Philips
  • Healthcare professionalsHealthcare professionals
    • Home
    • Products
    • Services
    • Specialties
    • Solutions
  • Other business solutionsOther business solutions
    • Lighting
    • Automotive
    • Dictation Solutions
    • More
    • Hearing solutions
    • Display solutions
  • About usAbout us
    • Home
    • News
    • Investor Relations
    • Careers
    • More
    • Innovation
    • Environmental, Social and Governance
  • Contact and supportContact and support
    • Customer support
    • Professional healthcare support
    • Company contacts
  • Stay up-to-dateStay up-to-date
  • Select your country / languageGlobal / English
  • Privacy Notice
  • Terms of use
  • Cookie notice
© Koninklijke Philips N.V., 2004 - 2025. All rights reserved.
‌
‌
‌
‌
‌
‌
‌
‌
‌
‌
‌
‌
‌
‌
‌
‌
‌
‌
‌
‌
  1. Diagnostic imaging
  2. Magnetic resonance imaging
  3. MRI software
  4. SyntAc
SyntAc
MR Clinical application
MRI software
‌
‌
‌
‌
‌
‌
‌
‌
‌

SyntAc

MR Clinical application
MRI software
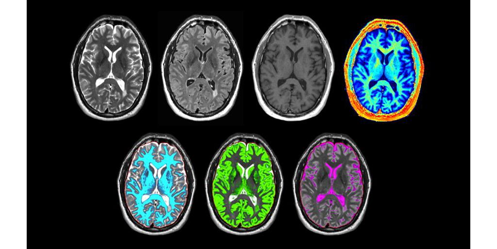
SyntAc allows you to perform MR imaging with a single quantification scan. The acquisition time can be decreased thanks to compatibility with Philips SmartSpeed and compatibility with Compressed SENSE acceleration technology. The resulting data can be used as input for advanced 3rd party processing software* to synthesize MR images with different contrasts, brain parenchyma fraction maps and/or brain segmentation maps

All Philips professional healthcare customers can open, track and manage equipment service tickets in our Customer Services Portal at no cost. Register for an account here.
For all support resources and contact information, visit our Support hub.

Brochure
Product Brochure Philips SyntAc MR Clinical application(170.80 KB)
See all

Clinical image gallery

  • Segmentation Grey matter (synthetic)
    Segmentation Grey matter (synthetic)
  • T2 map (synthetic)
    T2 map (synthetic)
  • T1w (synthetic)
    T1w (synthetic)

Documentation

Product Brochure Philips SyntAc MR Clinical application
PDF|170.80 KB

Recommended products

  • SmartPath MR system upgrade
    SmartPath to dStream
    The smart approach to digital broadband MR- Ingenia owners enjoy enhanced image quality, advanced clinical capabilities, and efficient workflow from dStream broadband digital architecture. A SmartPath to dStream upgrade offers full dStream, without installing a completely new system.
Disclaimer
* Synthetic MR, AB, Sweden